В литературе на протяжении почти 2000 лет появлялось много фантастических сообщений о гибридах между весьма отдаленными видами животных или между человеком и животным.
Казалось, что такое странное животное, как жираф, едва ли могло быть сотворено сколько-нибудь серьезным божеством; поэтому предполагали, что жираф произошел от скрещивания верблюда с леопардом. Верблюда считали участником, и другого мезальянса - с воробьем (!), в результате которого произошел страус. Старая биологическая литература весьма богата подобными фантастическими утверждениями, которые в настоящее время интересны лишь, как курьезы.»
Несмотря на то, что с тех пор, как были сказаны эти слова, не прошло и двадцати лет, сегодня мы должны с полной серьезностью относиться к сообщениям о работах с гибридами человека, и мыши, крысы и человека, и даже человека и курицы. Естественно, здесь речь идет лишь о гибридных культурах соматических клеток. Культуры эти уже несколько лет живут, и размножаются на дне невысоких стеклянных сосудов - чашек Петри в биологических лабораториях разных стран мира.
В каждом учебнике генетики можно встретить так называемую «карту хромосом». Вот одна из них. На линиях различной длины, условно изображающих хромосомы маленькой плодовой мушки, штрихами показано расположение известных генов. Их на карте более сотни. Каждый из генов отвечает за, какой-нибудь определенный наследственный признак. Известно, где находятся гены, ведающие формой и цветом глаз, длиной щетинок, строением, и окраской крыльев, размерами тела, плодовитостью. Есть хромосомные карты кукурузы, томатов, некоторых других растений и животных. В то же время мы не найдем в работах биологов таких же подробных сведений о строении хромосом важнейшего объекта генетики - человека. Что это, пренебрежительное невнимание? Дело, конечно, совсем не в этом.
Для того, чтобы построить генетический план хромосом, какого-либо животного или растения, необходимо провести сотни, тысячи скрещиваний организмов этого вида. Кому, как не примитивной мушке, дающей новое поколение каждые 10 - 12 дней, стать первым объектом подобных исследований? Понятно, что высшим животным с большой продолжительностью жизни одного поколения конкурировать в этом плане с дрозофилой трудно. Также совершенно очевидно, что в изучении генетики человека метод скрещиваний вообще не может быть использован. Где же выход? Один из возможных подступов к расшифровке наследственной информации, заключенной в клетках млекопитающих, и человека, подсказали исследования, начатые немногим более десяти лет назад.
Известно, что у родоначальника семейства антибиотиков - плесневого грибка пеницилла некоторые клетки его грибницы могут сливаться, образуя большие, вполне жизнеспособные клетки. Интересно, что в этом случае соединяются не половые, а обычные, «рядовые» клетки тела - соматические. Этот и другие случаи объединения соматических клеток натолкнули биологов на мысль попробовать получить их гибриды. Дело в том, что соматические клетки наравне с половыми имеют все основания участвовать в опытах по изучению наследственности - любая клетка тела содержит полный объем наследственной информации. Пересадив ядро клетки кишечника лягушки в лягушачью икринку, можно увидеть через некоторое время, как из икринки, оплодотворенной таким странным образом, развивается совершенно нормальный зародыш.
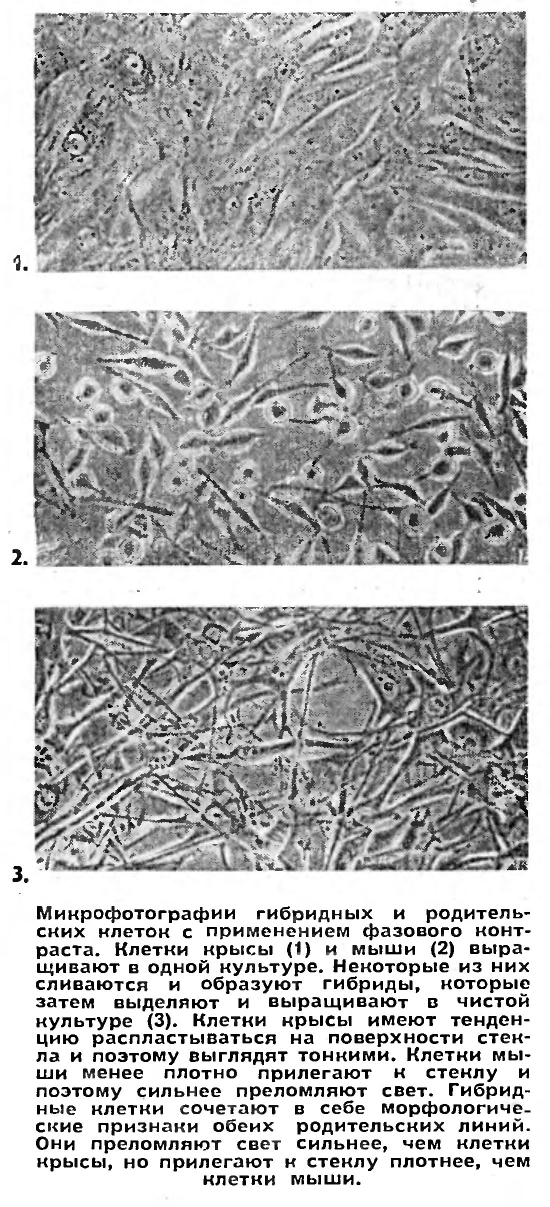
Смешав клетки, взятые из кусочков различных тканей мышей, отличающиеся по ряду признаков, в том числе формой хромосом, ученые вскоре обнаружили в смеси новые клетки, содержащие в своем ядре хромосомы обоих предшественников. Новые клетки, так же, как, и живущие рядом с ними обычные соматические клетки, развивались и размножались делением. Правда, клеток-гибридов образовывалось сравнительно мало, и их трудно было отделить от окружающей массы клеток обеих родительских линий. Чтобы выделить из смеси клетки-гибриды и увеличить «выход гибридной продукции», были предложены остроумные методы.
Клеточные культуры, которые предстояло смешивать, предварительно подвергали воздействию специального химического вещества. Химическая обработка вызывала изменения хромосомного аппарата некоторых клеток - мутации. Однако определить, в, какой именно клетке произошла мутация, несравненно сложнее, чем отличить мутантное животное или растение от их собратьев с неповрежденным хромосомным набором - ведь очень часто мутации у развившейся особи проявляются в изменении, каких-либо видимых признаков. Клетка же в результате мутации может, скажем, перестать вырабатывать, какой-нибудь фермент. Отличить такую клетку от нормальной можно лишь с помощью тонких физических, и химических методов.
Из полученного множества мутаций были отобраны две. Когда ту или другую группу мутантных клеток помещали в особую питательную среду, они быстро гибли (хотя в этом же бульоне нормально развивались мышиные клетки, не подвергшиеся наследственной перестройке).
Дело оказалось в том, что в результате мутации клетки теряли способность вырабатывать один из двух ферментов, которые вместе, как бы помогая друг другу, позволяли нормальным клеткам выживать в этой питательной среде. Причем каждая отобранная группа мутантных клеток из двух «защитных» ферментов утратила именно тот, который оставался у другой группы. Следовательно, рассуждали ученые, скрестив мутантные клетки обоих видов между собой, можно будет получить формы, устойчивые к «ядовитой» питательной среде.
Действительно, в ядрах клеток, содержащих в своем ядре хромосомы обоих «родителей», естественно, оказались и гены, ответственные за выработку того, и другого фермента. Каждая исходная клетка привносила ген, ответственный за фермент, который не могла вырабатывать другая клетка. Поэтому в смертоносной для обоих типов мутантных клеток питательной среде клетки-гибриды выживали, а клетки, не объединившие своих усилий в борьбе с окружающей средой, погибали.
Однако эта методика отбора гибридов, несмотря на свою эффектность, имела и существенные недостатки. Очень непросто получить нужные мутации у клеток процесс этот занимает много времени, а главное, действие химических мутагенов может породить в клетках, помимо желательных, и нежелательные изменения. Названные причины заставили ученых искать такой способ гибридизации соматических клеток, при котором большинство их образовывало бы гибриды. Тогда отбор стал бы просто ненужным.
Ранее было замечено, что клетки, зараженные, каким-нибудь вирусом, могут сливаться со здоровыми, образуя гигантские клетки с тысячами ядер внутри. Этой особенностью, и решили воспользоваться генетики. Обрабатывая смесь клеток животных инактивированными вирусами, они резко увеличили количество образующихся гибридов.
Почему же гибриды соматических клеток так заинтересовали ученых? Во-первых, поразительным был сам факт совместимости клеток разного происхождения. Известно, что половые клетки разных видов несовместимы. В тех редких случаях, когда яйцеклетка все же оказывается оплодотворенной спермием другого вида, она почти сразу же изгоняет ядро этой мужской половой клетки. Во-вторых, с помощью странных гибридов биологи надеялись решить ту важнейшую задачу генетики человека, с которой мы начали эту статью, а именно прочитать планы его хромосом.
Клетки-гибриды содержат в своих ядрах по набору хромосом от обоих «родителей». Причем расположенные на этих хромосомах гены продолжают, и в новом состоянии организованно выполнять ту же работу, что, и раньше. Интересно, что так бывает даже тогда, когда скрещиваются клетки животных разных видов. В гибридах соматических клеток мыши, и крысы, мыши, и китайского хомячка слившиеся ядра продолжали работать в полном согласии. Это означает, что внутриклеточные сигналы, определяющие последовательность биохимических процессов в одной из исходных клеток, были вполне понятны второму партнеру. И это несмотря на то, что за миллионы лет, отделяющие обоих «родителей» от общих предков, скрещиваемые клетки приобрели весьма специфические черты.
Однако, размножаясь делением, как обычные клетки, соматические гибриды в каждом следующем поколении постепенно теряют хромосомы одного из «родителей». Так, например, гибриды клеток человека, и мыши через сто поколений, то есть через сто последовательных клеточных делений, полностью утрачивают хромосомы человека (эти сто поколений гибридов проходят перед глазами исследователя за время, равное продолжительности жизни всего лишь одного поколения мышей - за три месяца).
Следователь ищет преступника, последовательно исключая из списка подозреваемых лиц тех, невиновность которых доказана. Примерно таким же методом исключения генетики, работающие с гибридами соматических клеток, пытаются определить, на, какой хромосоме «сидит» тот или иной ген. Ведь, когда с утратой, какой-нибудь человеческой хромосомы гибридная клетка перестает вырабатывать определенный фермент, это, как правило, свидетельствует, что ген, ответственный за выпуск данного фермента, сцеплен именно с ушедшей хромосомой. Таким именно способом, и было установлено, на, какой хромосоме человека находится ген, заведующий выработкой фермента тимидинкиназы.
Анализируя гибриды соматических клеток, ученые выяснили, и то, что гены, ответственные за производство у человека антигенов, сцеплены не с, какой-то одной хромосомой, а с несколькими. Чем больше хромосом человека содержится в клетках-гибридах, тем выше их антигенная активность. Скрещивая мышиные клетки с человеческими лимфоцитами, генетики приступили к картированию одной из половых хромосом человека - Х-хромосомы.
Есть еще одна важная, и сложная проблема в биологии, которую ученые пытаются решить с помощью гибридов тех же соматических клеток, - проблема клеточной дифференцировки.
Примелькавшееся сравнение клеток с кирпичиками, из которых строится здание организма, правомерно лишь на самой ранней стадии его развития. В это время действительно трудно отличить одну клетку от другой. Однако позднее клетки уместнее сравнивать с разнообразными типовыми деталями сложного сооружения. Все детали сделаны из одного материала, при их проектировании были приняты, какие-то общие принципы, но формы, и функции их чрезвычайно различны.
Наше воображение всегда будет поражать чудо рождения сложнейших организмов из одной лишь клетки. Комочек из первых одинаковых клеток зародыша в процессе развития превращается в стройную организацию самых различных специализированных клеток, образующих многоклеточный организм. Каким образом происходит у клеток разделение обязанностей? Почему клетка приобретает именно эту специализацию, а не, какую-нибудь другую? На эти вопросы наука пока еще не дает четких, и однозначных ответов.
В последнее время выдвинута еще одна интересная гипотеза о возможном механизме клеточной дифференцировки. Убедительной эту гипотезу делают эксперименты с соматическими гибридами.
Дифференцированные, и недифференцированные клетки имеют между собой много общего. И те, и другие прежде всего должны расти, и развиваться. Поэтому часть генов в клетке ведает ее «основными» функциями, определяющими нормальную жизнь клетки. «Основные» функции - это функции самообслуживания, они необходимы лишь самой клетке. У специализированных соматических клеток обязанности много шире. Кроме собственной судьбы, их «волнует» развитие, и деятельность органа, ткань которого они составляют. Дифференцированные клетки, кроме самообслуживания, могут быть заняты выделением гормонов, образованием мышечных волокон или синтезом пигментов, а также многими другими делами, необходимыми для жизнедеятельности всего организма. Эти дополнительные функции в отличие от основных, генетики назвали «функциями роскоши»
Но ведь самые различные клетки одного организма имеют одинаковые наборы генов. Авторы упомянутой гипотезы предположили, что среди них существует некоторая иерархия. Видимо, считают они, в соматических клетках млекопитающих есть гены-регуляторы, которые контролируют активность генов, ответственных за различные «функции роскоши». Лабораторные эксперименты подтвердили это мнение.
Скрестили дифференцированные опухолевые клетки хомячка с клетками мыши. До гибридизации у клеток хомячка была следующая «функция роскоши» - они производили темный пигмент меланин. Клеточные колонии полученных гибридов меланин не синтезировали. Очевидно, среди генов мыши был ген-регулятор, «запретивший» производство меланина в клетках-гибридах. Более того, сказалось, что синтез меланина можно остановить даже в самих клетках хомячка, обработав их экстрактом из мышиных клеток. Последний эксперимент стал еще одним достаточно веским подтверждением правильности предложенной гипотезы.
С помощью соматических гибридов удалось найти ответ на один из вопросов общей проблемы дифференцировки. Некоторые высокодифференцированные клетки, сформировавшись, теряют способность расти. Они не производят нуклеиновых кислот, их ядра становятся маленькими, и плотными. Обратимы ли такие изменения? Можно ли заставить гены, запретившие таким клеткам рост, отменить свой приказ? Ответ на этот вопрос также был получен в лаборатории.
В качестве высокодифференцированных клеток были взяты эритроциты из крови курицы. Их скрестили с активно развивающимися недифференцированными клетками человека. В клетках-гибридах оказалось по два ядра - из клеток курицы и человека. И ядра куриных эритроцитов, попадая в новую среду, резко менялись. Они набухали, увеличиваясь в размерах, в них возобновлялся синтез нуклеиновых кислот, который шел в ядрах клеток человека.
Таким образом было доказано, что те изменения, которые наступают в ядре клетки, после того, как она приобретает узкую специализацию, вполне обратимы.
Итак, некоторые успехи в решении проблемы уже достигнуты. О перспективах, открывающихся перед биологами, принявшими на вооружение новую методику, говорит один из участников работ с соматическими гибридами «Не подлежит никакому сомнению, что такого рода опыты позволят в ближайшее время ответить на многие нерешенные вопросы, связанные с расшифровкой сложных механизмов клеточной дифференцировки у многоклеточных организмов»

